患者さん中心の医療と、科学的診断と新しい技術を提供いたします。

お子さんにこんな症状があったら耳鼻科受診を

小児耳鼻咽喉科

長引く夜や朝の咳

副鼻腔炎の鼻汁は、構造上も機能的にも、鼻の前方よりも後方のどの方に流れやすいです。特にお子さんでは、寝ている時にそれがのどに流れ込んで、咳をすることが多いです。夜の間にのどに溜まった鼻汁のため、朝起きた時もしばらく咳が続きます。

 

お子さんの咳が長引く時には、耳鼻咽喉科の専門医に御相談ください。耳鼻咽喉科医なら症状の経過と鼻内の所見で、副鼻腔炎かどうか大体の見当をつけられます。しかしそれだけでははっきり診断できないこともあります。その場合、安全に繰り返して行える副鼻腔超音波検査が有用です。

 

しかし咳の原因は他にも多いので、副鼻腔炎の診断と同時に、他の病気の合併がないか注意も必要です。特に幼小児の咳では、副鼻腔炎と同時に一時的に気管支が狭くなっていることもあります。当院では胸部の聴診も行い、喘鳴があれば気管支拡張剤の吸入を行い、必要であれば小児科の先生と連携をとるようにしています。

よく聞き返す、返事をしない、耳をさわる

よく聞き返す、返事をしないなどは、難聴の可能性を示す症状です。かなり大きいお子さんでも、なかなか自分から聞こえが悪いことを訴えてくれません。耳鼻咽喉科を受診されて初めて滲出性中耳炎などの病気が見つかることも多いです。

 

まだ言葉も出ていないような小さなお子さんでは、さらに耳の病気が見逃されやすいです。しょっちゅう耳をさわるのは、軽度の痛み、違和感、聞こえの悪さなど、急性中耳炎の症状が出ている可能性があります。その他、耳垢栓塞外耳炎外耳道湿疹なども考えられます。

くしゃみ、鼻水、鼻づまり、よく鼻をこする

くしゃみ、鼻水、鼻づまり、よく鼻をこする、さらには目がかゆいなどは、典型的なアレルギー性鼻炎の症状です。風邪の初期にもくしゃみ、鼻水は出ますが、風邪なら1週間以上続くことはありません。アレルギー性鼻炎は、もしかすると一生付き合わなければならない病気ですから、しっかり診断して対策を立てることをお勧めします。

 

一方、アレルギー性鼻炎として小児科の先生に治療を受けていたけど症状が改善せず、耳鼻咽喉科を受診したら副鼻腔炎だったということは、珍しくありません。鼻汁のうちサラサラの成分は鼻の穴からも出て来ますが、ネバネバの成分は奥にたまったまま、前の方にはなかなか出てこないので、鼻の奥を観察したり、鼻汁を吸引したりしないと、症状だけでは診断できないことがあるのです。

口呼吸、いびき、睡眠時無呼吸

お子さんの口呼吸は、副鼻腔炎アレルギー性鼻炎で鼻がつまっていたり、鼻の奥の鼻咽腔(上咽頭)にある扁桃の親戚のアデノイドが極端に大きかったり、耳鼻咽喉科の病気が起きていることが多いです。その状態があまりに長期間続くと、顎の骨の発育などにも影響します。

 

小児では、いびきも鼻やのどが狭い時にかきます。アレルギー性鼻炎、副鼻腔炎、アデノイド、扁桃肥大などがその原因になります。

 

いびきも軽ければいいのですが、酷くなると睡眠時無呼吸を起こしたり、睡眠の障害を起こしたりすることがあります。放置すると、成長ホルモンが十分に出ないなど、成長や発育にも影響します。

 

繰り返す発熱

とくに2歳未満のお子さんで、小児科の先生に診てもらっていても、はっきりした原因なしに発熱を繰り返す時、急性中耳炎の可能性があります。小さいお子さんでは痛みを訴えることができないので、なかなか診断がつかないことがあるのです。

 

急性中耳炎のほとんどは鼻副鼻腔の細菌感染に引き続いて起きますが、小さいお子さんの鼻副鼻腔炎では多くの場合咳も伴いますので、意外の小児科の先生も気管支炎などを疑って、中耳炎を見落とすことがあるようです。

 

のどの痛み

原因不明の頭痛

他に原因がないのにしばしば頭痛が続くとき、副鼻腔炎が原因であることもあります。ただし、小さいお子さんでは、おでこの奥の前頭洞がまだ十分発育していないので、大人のように前頭洞に膿みが溜まって激しい頭痛が起きるということはありません。頬の奥の上顎洞や、目と目の間の篩骨洞の炎症で、頭が重いことが多いようです。

 

お子さんでもよく見られるのは、後頸部の筋の緊張を伴う頭痛です。この場合は、鎮痛剤を内服するとともに、後頚部を温めたり軽く揉んだりするのも、効果があります。

 

片側あるいは両方のこめかみから目のあたりにかけて、心臓のリズムに合わせて脈を打つようにズキズキ痛む片頭痛は、小児でも起きることがあります。この場合は、マッサージなどせず、痛いところを冷やして、安静にするのが効果的です。

声が枯れる

小児の声がれの原因として一番多いのは声帯結節です。左右の声帯に対称的にできる、炎症性の腫れです。声を無理に使いすぎて起きます。とくに炎症があるときに声を使いすぎるとできやすいようです。子供で多くてしかも長引くのは、大きな声を出す男の子です。大人でも保母さんや、幼稚園、小学校の先生などよく声を使う方にできることがあります。

 

確定診断は、内視鏡で直接声帯を見て確認することです。当院には、新生児の喉頭の観察も可能な、細径の内視鏡もあります。

 

言ってみれば、手にできる豆のようなものですので、声を使わないようにすれば治ることが多いです。大人では手術が必要になることがあります。

 

しかし、元気な子に声の安静(声を出すな)というのは無理ですし、治らなくても幸いどんなに遅くても声変わりの時期を過ぎれば自然に治ることが多いので、子供の場合はあまり心配せずに様子を見ましょう。ただ、声がれが長引いたり重症だったりするお子さんは、他の病気の可能性や消炎治療が必要な場合もありますので、耳鼻咽喉科を受診してください。

 

風邪などに伴って一時的に声が枯れるのは、声帯に痰が絡まっていることが多いです。この場合は、鼻汁(後鼻漏)の吸引、薬の内服などで治療します。

反復性耳下腺炎ーこどもの耳下部が繰り返し腫れて痛むー

一番大きな唾液腺である耳下腺が腫れる病気でよく知られているのはおたふく風邪ですが、耳下腺が何回も繰り返して腫れる場合があります。反復性耳下腺炎は、決して珍しい病気ではありません。

 

元々狭い唾液の流れる管(導管)に炎症が加わって、唾液の流れが滞って腫れる病気で、痛みがあっても発熱はなく、唾液が流れ出せば数日で治ります。小児で発症して、思春期には治るのが普通です。

 

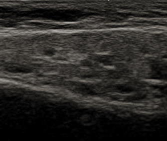
おたふく風邪との鑑別が難しい時などは、当院では超音波検査を行っています。反復性耳下腺炎では、耳下腺組織の中に小円形低エコー域の多発が見られます。この所見は、拡張した導管かその周囲のリンパ球浸潤によるものだと言われています。

 

図は腫れがほとんどなく、原因不明の耳下部の痛みだけを何回も繰り返して、多くの病院を受診しても診断がつかず、当院を受診した子の超音波検査所見です。グレーの耳下腺組織の中に多数の黒い丸が見られます。この子は、超音波検査をしなければ、診断がつかなかったでしょう。